- cross-posted to:
- news@lemmy.world
- cross-posted to:
- news@lemmy.world
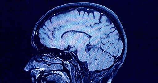
During each of these phases, our brains show markedly different characteristics in brain architecture, according to the new findings.
As we age, the human brain rewires itself. The process happens in distinct phases, or “epochs,” according to new research, as the structure of our neural networks changes and our brains reconfigure how we think and process information.
For the first time, scientists say they’ve identified four distinct turning points between those phases in an average brain: at ages 9, 32, 66 and 83. During each epoch between those years, our brains show markedly different characteristics in brain architecture, they say.
The findings, published Tuesday in the journal Nature Communications, suggest that human cognition does not simply increase with age until a peak, then decline. In fact, the phase from ages 9 to 32 is the only time in life when our neural networks are becoming increasingly efficient, according to the research.
During the adulthood phase, from 32 to 66, the average person’s brain architecture essentially stabilizes without major changes, at a time when researchers think people are generally plateauing in intelligence and personality.



This is very interesting. And just feels true.
Agreed. When I look back at my own changes in life, as well as those of my parents and friends, these developments become a little more evident.